1. 網站首頁 >
  2. 牙齒美白 > 四環素牙 >

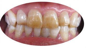
珠海四環素牙可以治療嗎?有哪些方法?

四環素牙可以治療嗎?有哪些方法?珠海維港口腔牙醫分享:四環素著色牙是在牙齒發育期間服用了四環素類藥物而引起的牙齒內源性著色現象。(1)病因:牙齒發育期服用了四環...[詳細]

什麼叫四環素牙?珠海邊間牙科可以治療四環素牙?

四環素是一種治療細菌感染的藥物,它對小孩的牙齒有一種染色的作用。從前醫學界沒有重視到四環素對牙齒的這種染色作用,現在這類藥物已經不用於兒童和孕婦了,但是有的父母...[詳細]

珠海牙齒美白—什麼是四環素牙呢?

有一些家長發現自己小朋友的牙齒特別黃,怎麼都刷不乾淨,帶去專業口腔科檢查,牙醫告知是四環素牙,刷牙是不能刷白的,只能成年之後通過牙貼面或者牙冠美白修復,那什麼是...[詳細]

珠海牙醫提醒小兒忌服用四環素類抗生素

四環素類藥物是一類廣譜抗生素天然抗生素(即直接提取自真菌等微生物分解產物而獲得的抗生素),如四環素、土黴素、金黴素;半合成品種有多西環素、米諾環素。由於四環素藥...[詳細]

珠海牙齒美白—為什麼四環素類藥物對牙齒有害呢?

珠海維港口腔專業牙醫表示,因四環素類藥物對於鈣離子有親和作用與毒性作用,與鈣離子結合後形成四環素鈣複合物,此物質能抑制礦物質的生長及抑制牙髓細胞的膠原合成,而其...[詳細]

珠海牙齒美白—四環素牙是怎樣生成的?

人的牙齒絕大多數都是晶瑩光亮、潔白如玉的;每當微笑時,給人以健美、舒服的感覺。但是在一些兒童青少年中,他們的牙齒卻不那麼潔白、整齊了,有的牙齒發黃、變灰,有的伴...[詳細]

四環素牙是什麽?牙齒美白

四環素是由金黴素催化脫鹵生物合成的抗生素,早在1948年即開始用於臨床。四環素牙(tetracyclinepigmentationteth)是一種在牙齒發育期中...[詳細]

温馨提示: 牙科問題歡迎電話諮詢+853 62362590(澳门)、+86 13823397816(内地),提前預約,避免排隊、免專家掛號費、享受牙科診療最新折扣優惠。維港口腔連鎖,立足粤港澳大湾区,为粵港澳市民提供專業的牙科服務。
每 天 應 診    預 約 睇 牙
HKG
慈善基金副會長
國際牙科
過關即到
深圳諾貝爾種植中心
微創技術
維港慈善
東門步行街活動
補牙800
大學校長到訪維港口腔參觀交流
香港企業領袖品牌
本地牙醫,放心睇牙
ig女神維港睇牙

關於維港

牙醫團隊

醫療資訊

收費標準

種 牙

瓷牙套

醫院環境

來院路線

温馨提示: 牙科問題歡迎電話諮詢+853 62362590(澳门)、+86 13823397816(内地),提前預約,避免排隊、免專家掛號費、享受牙科診療最新折扣優惠。維港口腔連鎖,立足粤港澳大湾区,为粵港澳市民提供專業的牙科服務。

上班時間:09:30~18:30(廣東話、潮州話、客家話、英語、普通話接診)

粵語諮詢:澳門電話 +853 62362590 珠海電話 +86 13823397816

WhatsApp:+853 62362590

WeChat:wgdental

珠海拱北院:珠海市香洲區拱北迎賓南路1155號中建商業大廈15樓(近拱北口岸,迎賓百貨廣場對面)

福田口岸香江院:福田區福田口岸正對面,海悅華城104號地鋪(東鐵線落馬洲站出關對面即到)

福田口岸廣場院:福田區裕亨路3-1號福田口岸商業廣場地鋪034號(福田口岸出關右轉直行5分鐘即到)

福田口岸星光院:福田區裕亨路3-1號福田口岸商業廣場地鋪033號(福田口岸出關右轉直行5分鐘即到)

福田皇崗院:羅湖區愛國路1002號外貿輕工大廈8樓(近羅湖口岸和蓮塘口岸,蓮塘口岸2個地鐵站,近東門步行街)

羅湖區委院:羅湖區愛國路1002號外貿輕工大廈8樓(近羅湖口岸和蓮塘口岸,蓮塘口岸2個地鐵站,近東門步行街)

羅湖國貿院:羅湖區春風路廬山大廈B座21樓(近羅湖口岸、向西村地鐵站A2出口、國貿地鐵站B出口)

羅湖金光華院:羅湖區國貿金光華廣場東二門對面,南湖路凱利商業廣場地鋪(近羅湖口岸、國貿地鐵站B出口)

香港咨詢與服務保障中心:九龍荔枝角長裕街11號定豐中心1306室(荔枝角地鐵站A出口3分鐘,香港辦公室暫不應診,主要咨詢接待)

就診提示:請提前預約時間,院內CT檢查免費,憑的士小票首次治療後可報銷30元內的車費!提供快遞代收存放服務。

電話聯係客服

點擊「確定」,馬上聯係客服進行免費咨詢預約!

WeChat ID已複製

點擊「打開微信」進入微信,點右上⊕,粘貼ID,添加客服開始免費咨詢!

WhatsApp客服咨詢

點擊「確定」,即可免費咨詢預約維港口腔官方客服!