1. 網站首頁 >
  2. 種植牙 > 前牙種植 >

植體有咩分類咧?拱北植牙有醫師推介嗎?

維港口腔專業牙醫科普,臨床使用的種植體種類繁多,常用種植體分類如下:1、按植入部位分類:可分為骨內種植體、骨膜下種植體、牙根管內骨內種植體、黏膜內種植體、穿下頜...[詳細]

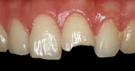
牙齒點解會斷裂?拱北植牙要幾錢?

牙齒雖然很堅硬,但是不代表它不會斷裂,今天維港口腔為大家科普一下常見導致牙齒斷裂的原因!專業牙醫表示,常見會造成牙齒斷裂的原因如下:1、外力損傷。牙齒都有一定的...[詳細]

數字化種植牙有咩優點?拱北植牙價錢?

隨著種植技術的不斷進步,現在有不少牙科都會引進數字化種植,那數字化種植牙有什麼優點呢?維港口腔專業牙醫為大家科普!專業牙醫表示,相對於傳統種植修復,數字化種植牙...[詳細]

植骨之後幾時可以種牙咧?拱北植牙專家推介

一般來說,牙槽骨高度需1cm以上,寬度至少0.6cm,骨質密度還要達到一定的標準,才達到安全的植牙範圍。假如達不到這個標準的話,在植牙前就需要植骨!那植骨之後什...[詳細]

韓國奧齒泰種植牙點樣?價錢貴不貴?附優勢整理!

奧齒泰種植系統有GS系列、SS系列、TS系列、US系列。這4個系列中使用比較多嘅係TS和MS。其中,TS有較強嘅自攻性,使植體可以到達預定嘅深度,還能夠240度...[詳細]

植牙後有咩要注意嘅咧?珠海種牙專科

珠海維港口腔種植主任科普,植牙後注意以下事項能更好地幫助種植牙恢復:1、預防感染。常規使用抗生素。對於簡單的種植手術,可以口服抗生素預防術後感染,而複雜的種植手...[詳細]

咩因素會影響種植二期修復時間咧?澳門種植牙價錢

種植牙會分為一期、二期以及三期手術,一般情況一期手術後3個月左右的時間會過來複診拍片檢查一下種植體和牙槽骨的結合情況,沒有問題的話就可以進行二期手術!但是不是所...[詳細]

植牙前通過拍片係檢查咩咧?澳門植牙收費

植牙前是一定拍片檢查的,假如到一家牙科種牙但是醫生沒讓你拍片就直接種牙的話,那就建議去其他家牙科!不拍片就種牙就是不負責任的表現!那植牙前拍片是檢查什麼呢?澳門...[詳細]

種牙植骨需要滿足咩條件咧?澳門種牙價錢

骨質的高度、寬度和密度都會直接影響植牙的成敗,以及植牙日後是否能堅固耐用。在植牙前,醫師必須做詳細的檢查和評估,再決定植牙前是否要先做骨質重建(俗稱補骨)或鼻竇...[詳細]

種植牙二期修復過程係點樣嘅咧?珠海種牙收費標準2023

種植牙二期手術一般是指種植牙過程中第二次手術,也就是植入到牙槽骨中的種植體已經和牙槽骨結合牢固,將種植體從粘膜下麵暴露到口腔中的過程。種植一期待3-6個月的癒合...[詳細]

温馨提示: 牙科問題歡迎電話諮詢+853 62362590(澳门)、+86 13823397816(内地),提前預約,避免排隊、免專家掛號費、享受牙科診療最新折扣優惠。維港口腔連鎖,立足粤港澳大湾区,为粵港澳市民提供專業的牙科服務。
每 天 應 診    預 約 睇 牙
國際牙科
過關即到
深圳諾貝爾種植中心
微創技術
維港慈善
維港創始人和市長合影
潮屬社團團拜
東門步行街活動
補牙800
大學校長到訪維港口腔參觀交流
香港企業領袖品牌
本地牙醫,放心睇牙
ig女神維港睇牙

關於維港

牙醫團隊

醫療資訊

收費標準

種 牙

瓷牙套

醫院環境

來院路線

温馨提示: 牙科問題歡迎電話諮詢+853 62362590(澳门)、+86 13823397816(内地),提前預約,避免排隊、免專家掛號費、享受牙科診療最新折扣優惠。維港口腔連鎖,立足粤港澳大湾区,为粵港澳市民提供專業的牙科服務。

上班時間:09:30~18:30(廣東話、潮州話、客家話、英語、普通話接診)

粵語諮詢:澳門電話 +853 62362590 珠海電話 +86 13823397816

WhatsApp:+853 62362590

WeChat:wgdental

珠海拱北院:珠海市香洲區拱北迎賓南路1155號中建商業大廈15樓(近拱北口岸,迎賓百貨廣場對面)

福田口岸香江院:福田區福田口岸正對面,海悅華城104號地鋪(東鐵線落馬洲站出關對面即到)

福田口岸廣場院:福田區裕亨路3-1號福田口岸商業廣場地鋪034號(福田口岸出關右轉直行5分鐘即到)

福田口岸星光院:福田區裕亨路3-1號福田口岸商業廣場地鋪033號(福田口岸出關右轉直行5分鐘即到)

福田皇崗院:羅湖區愛國路1002號外貿輕工大廈8樓(近羅湖口岸和蓮塘口岸,蓮塘口岸2個地鐵站,近東門步行街)

羅湖區委院:羅湖區愛國路1002號外貿輕工大廈8樓(近羅湖口岸和蓮塘口岸,蓮塘口岸2個地鐵站,近東門步行街)

羅湖國貿院:羅湖區春風路廬山大廈B座21樓(近羅湖口岸、向西村地鐵站A2出口、國貿地鐵站B出口)

羅湖金光華院:羅湖區國貿金光華廣場東二門對面,南湖路凱利商業廣場地鋪(近羅湖口岸、國貿地鐵站B出口)

香港咨詢與服務保障中心:九龍荔枝角長裕街11號定豐中心1306室(荔枝角地鐵站A出口3分鐘,香港辦公室暫不應診,主要咨詢接待)

就診提示:請提前預約時間,院內CT檢查免費,憑的士小票首次治療後可報銷30元內的車費!提供快遞代收存放服務。

電話聯係客服

點擊「確定」,馬上聯係客服進行免費咨詢預約!

WeChat ID已複製

點擊「打開微信」進入微信,點右上⊕,粘貼ID,添加客服開始免費咨詢!

WhatsApp客服咨詢

點擊「確定」,即可免費咨詢預約維港口腔官方客服!